皇冠体育APP
热门标签

皇冠信用网_河南一老人做冠脉造影手术时一截导丝断在血管中!院方回应

时间:2025-10-01   阅读:191

信用网皇冠申请注册(输入9990088.com)皇冠_官方信用网线上直营平台,皇冠体育代理帐号申请、信用网会员注册近日,来自河南汝州的高女士反映称,她的父亲在河南省胸科医院做冠脉造影手术时,手术所用导丝末端断裂,一截导丝被遗留在血管中皇冠信用网。“父亲原本就有血栓,担心随着父亲年龄增长,病情会加剧。”

9月30日,涉事医院医患办公室工作人员告诉南都N视频记者,术后院方组织了相关科室会诊,判断回旋支指引导丝远段断裂,与患者回旋支弥漫性动脉硬化重度狭窄病变及钙化有关皇冠信用网。如果患者需要做医疗事故鉴定,院方将全力配合。目前仍在与该病人家属进行协商。

皇冠信用网_河南一老人做冠脉造影手术时一截导丝断在血管中皇冠信用网!院方回应

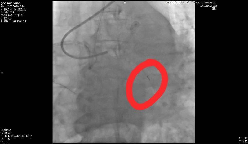
断裂的导丝皇冠信用网。受访者供图

病人家属:担心遗留导丝会加剧病情

高女士向南都记者介绍,其父亲今年62岁,去年因冠心病在河南省胸科医院做过支架植入手术皇冠信用网。今年9月2日,因感到胸闷,其父亲再次到该医院复查。

9月5日,高女士父亲在该医院做冠脉造影,手术进行了近3个小时皇冠信用网。高女士回忆说,手术结束后,负责手术的医生告诉她,“在微创探查体内的时候,一截导丝断裂。”当高女士询问能否再次实施手术取出时,医生表示因病患年纪较大,开胸手术存在危险,并没有取出的必要。但对于遗留导丝会否在后续造成长期影响,该医生则称“无法确定”。

高女士提供的病程记录显示,“手术操作过程中出现回撤导丝困难,送入微导管尝试至坎顿处未成功,退出微导管时远段导丝断裂,多途径尝试取出断裂导丝均未能成功皇冠信用网。”资料还指出,“通过复查造影,回旋支近段残余狭窄小于30%,未见明显夹层、无复流。”

南都记者留意到,该病程记录给出了心血管外科一病区会诊意见,称“回旋支内见离断的介入导丝,外科取出导丝意义不大,建议内科治疗”皇冠信用网。

高女士认为,父亲原本就有血栓,按照医院的说法,他的血管狭窄、钙化严重,其担心随着父亲年龄增长,情况会加剧皇冠信用网。她表示,目前有两个诉求,一是希望医院能给予一定金额的赔偿;二是由医院对接能做开胸手术的医院,必要情况下协助垫付一定费用。

涉事院方:可配合做相关医疗鉴定

9月30日,南都记者联系涉事医院医患办咨询,接线人员表示,目前已了解高女士的诉求,正积极与高女士进行协商皇冠信用网。

该名接线人员表示,该患者入院后,诊断冠心病、急性冠脉综合征,手术指征明确皇冠信用网。“术前已与患者及家属沟通病情,告知其冠脉造影及冠脉支架植入术的必要性及相关风险。”

这一说法可以在高女士提供的病程记录中得到印证皇冠信用网。相关记录显示,9月4日,手术医师进行查房,随后与患者及家属沟通病情,告知其冠脉造影及冠脉支架植入术的必要性及相关风险,其中提及,术后可能出现支架再狭窄或支架内血栓形成,可造成相关脏器急性缺血坏死或功能障碍,危及生命,以及导丝、导管、鞘管等术中所用材料断裂、打折等,必要时需要外科手术治疗。

该医患办工作人员向南都记者解释称,术后院方组织了相关科室会诊,判断回旋支指引导丝远段断裂,与患者回旋支弥漫性动脉硬化重度狭窄病变及钙化有关皇冠信用网。“如果患者需要做医疗事故鉴定,院方将全力配合。如果对方经济困难,医院愿意垫付费用做鉴定。”其还表示,医院将根据第三方相关鉴定,承担院方该承担的责任。

南都记者了解到,当前高女士向医院提出30万的索赔,院方认为索赔数目太高,建议走司法程序进行司法鉴定,以此明确医院的过错及比例,如果家属对血管里的导丝感到担心,医院可先补偿8000元皇冠信用网。

高女士表示,当前她已将诉求反映至省卫健委有关部门,正在进一步等候处理中皇冠信用网。

采写:南都N视频记者 林诗妍

上一篇:皇冠信用网开户_合肥市委常委、包河区委书记程雪涛拟任安徽省辖市市委副书记

下一篇:皇冠信用网代理出租_女子花12800元买男友5年开房记录!男友:她通过一家网店查到,还能查同住人信息;电商平台客服回应

网友评论